Ορισμοί
Τα εκκολοπώματα είναι σακοειδείς προεκβολές του βλεννογόνου διά της μυϊκής στιβάδας του παχέος εντέρου. Αποτελούν βλεννογονικές κήλες που παρουσιάζονται στα «αδύναμα» σημεία εισόδου διατιτραινόντων αιμοφόρων αγγείων (μακρών κλάδων των ευθέων αγγείων) διά της μυϊκής στιβάδας. Τα σημεία εισόδου εντοπίζονται μεταξύ μεσεντέριας ταινίας και πλαγίων ταινιών (Εικόνα 1).
Τύποι εκκολπωμάτων:
- Επίκτητα: Τα πιο κοινά, είναι ψευδή εκκολπώματα διότι αποτελούνται μόνο από βλεννογόνο και υποβλεννογόνιο (Εικόνα 2). Τα εκκολπώματα του παχέος εντέρου εμφανίζονται στο σιγμοειδές στο 95% των περιπτώσεων. Κάτω από την περιτοναϊκή ανάκαμψη δεν εμφανίζονται εκκολπώματα.
- Συγγενή: Είναι αληθή εκκολπώματα που περιλαμβάνουν όλους τους εντερικούς χιτώνες, είναι πολύ πιο σπάνια από τα ψευδή εκκολπώματα, εμφανίζονται κατά κύριο λόγο στο δεξιό κόλον, κοντά ή στο τυφλό, είναι συνήθως μονήρη στο Δυτικό ημισφαίριο, ενώ στις Ασιατικές χώρες, όπου και εμφανίζονται πιο συχνά είναι πολλαπλά.

Εικόνα 1.
Θέσεις δημιουργίας εκκολπωμάτων
Η εκκολπωματική νόσος περιλαμβάνει τις παρακάτω οντότητες:
- Εκκολπωμάτωση: Είναι η απλή παρουσία εκκολπωμάτων στο κόλον, η οποία δεν συνιστά καθαυτή νόσο. Η ανεπίπλεκτη εκκολπωμάτωση μπορεί να συνδέεται με χρόνια, ήπια συμπτωματολογία (χρόνια συμπτωματική εκκολπωμάτωση).
- Εκκολπωματίτιδα: Είναι η φλεγμονή εκκολπώματος(ων) και συμβαίνει σε 15-25% των εκκολπωματώσεων:
(α) Απλή, χωρίς επιπλοκές (75%)
(β) Επιπλεγμένη (25%) με απόστημα, συρίγγιο, απόφραξη, περιτονίτιδα, σήψη
- Αιμορραγία από εκκολπώματα σε 5-15% των εκκολπωματώσεων.

Εικόνα 2.
Εκκολπώματα ως τυχαίο εύρημα κατά την κολονοσκόπηση
Επιδημιολογία
Η συχνότητα της εκκολπωμάτωσης στο γενικό πληθυσμό ανάλογα με την ηλικία και το φύλο φαίνεται στον Πίνακα 1.
Πίνακας 1. Επιδημιολογία εκκολπωμάτωσης
| Ηλικία | Φύλο |
| 40 ετών: 5% | < 50 ετών: πιο συχνή σε άνδρες |
| 60 ετών: 30% | 50-70 ετών: ελαφρά πιο συχνή σε γυναίκες |
| 80 ετών: 65% | > 70 ετών: πιο συχνή σε γυναίκες |
Παθολογική φυσιολογία
Σύμφωνα με το νόμο του Laplace (P=kT/R, Πίεση=Τάση/Ακτίνα) η χαμηλή πρόσληψη φυτικών ινών στη δίαιτα οδηγεί σε ελαττωμένο όγκο κοπράνων που προκαλεί ελάττωση της διαμέτρου του κόλου και ταυτόχρονα αυξάνει τις ενδαυλικές πιέσεις.
Το ελαττωμένης διαμέτρου κόλον χαρακτηρίζεται από υπερκινητικότητα μικρών τμημάτων του που δεν προωθούν ικανοποιητικά το εντερικό περιεχόμενο. Η μη προωθητική αυτή κινητικότητα ονομάζεται τμηματοποίηση και οδηγεί στη δημιουργία στενών τμημάτων του κόλου με αυξημένη ενδαυλική πίεση, η οποία προκαλεί την βλεννογονική προβολή διά των ευένδοτων σημείων του τοιχώματος.
Ο μυϊκός χιτώνας παχύνεται και βραχύνεται, κατάσταση γνωστή ως μύκωση.
Αυξημένη εναπόθεση ελαστίνης μεταξύ των ταινιών (επιμήκους μυϊκού χιτώνα) και της κυκλοτερούς μυϊκούς στιβάδας, φαινόμενο που καλείται ελάστωση, οδηγεί σε σκλήρυνση των ταινιών και σε δυσχέρεια χαλάρωσης του κυκλοτερούς μυός, με αποτέλεσμα τη δημιουργία ανελαστικών περιοχών και αύξηση της ενδαυλικής πίεσης.
Ελαττωμένη αντίσταση του τοιχώματος στις αυξημένες ενδοκολονικές πιέσεις οφείλεται στην εκφύλιση του κολλαγόνου στις προχωρημένες ηλικίες, οπότε η επίπτωση της εκκολπωμάτωσης αυξάνεται.
Το σιγμοειδές έχει τη μικρότερη διάμετρο στο κόλον και ως εκ τούτου είναι το πιο επιρρεπές στις παραπάνω αλλαγές, αποτελώντας τη «ζώνη των υψηλών πιέσεων».
Εκκολπωματίτιδα
Παθολογική φυσιολογία, φυσική πορεία, επιπλοκές
Η εκκολπωματίτιδα περιλαμβάνει ένα φάσμα φλεγμονωδών αλλοιώσεων, από την τοπική φλεγμονή (απλή μη επιπλεγμένη) έως τη γενικευμένη περιτονίτιδα.
Αυξημένη ενδαυλική πίεση και ενσφήνωση κοπρανώδους υλικού στο στόμιο του εκκολπώματος οδηγούν σε εστιακή βλεννογονική ισχαιμία και μικροσκοπική ή και μακροσκοπική διάτρηση του εκκολπώματος, προκαλώντας περικολική φλεγμονώδη αντίδραση (Εικόνα 3).
Η φυσική πορεία της εκκολπωματίτιδας αναφαίνεται στον Πίνακα 2.

Εικόνα 3.
Α. Εκκολπωματίτιδα από απόφραξη του στομίου εκκολπώματος.
Β. Αιμορραγία από εκκόλπωμα
Πίνακας 2
| Φυσική πορεία της εκκολπωματίτιδας | |
| 75% | Απλή, χωρίς επιπλοκές |
| 25% | Επιπλεγμένη |
| 15-25% | Επιπλεγμένη που χρειάζεται χειρουργείο |
| 50-80% | Υποχωρεί με συντηρητική θεραπεία |
| 20-30% | Υποτροπιάζει (1η υποτροπή) |
|
20-30% |
2η υποτροπή |
Η επιπλεγμένη εκκολπωματίτιδα χαρακτηρίζεται από:
- Οξείες επιπλοκές (ταξινομούνται κατά Hinchey): φλέγμονας (Hinchey I), απόστημα (συγκαλυμμένη διάτρηση, Hinchey II), περιτονίτιδα (ελεύθερη διάτρηση, πυώδης περιτονίτιδα- Hinchey III, κοπρανώδης περιτονίτιδα- Hinchey IV).
- Χρόνιες επιπλοκές:
- Απόφραξη παχέος εντέρου : Η πλήρης απόφραξη είναι σπάνια. Ατελής απόφραξη μπορεί να συμβεί στα πλαίσια της οξείας προσβολής λόγω οιδήματος. Υποτροπιάζουσες εκκολπωματίτιδες οδηγούν σε προοδευτική ίνωση και στένωση του εντέρου.
- Συρίγγιο (2% των επιπλεγμένων εκκολπωματίτιδων). Τοπική φλεγμονώδης διεργασία και αποστηματοποίηση μπορεί να οδηγήσουν σε διάτρηση και να αποσυμφορηθούν αυτόματα σε ένα παρακείμενο κοίλο σπλάγχνο ή σπανιότερα στο λεπτό έντερο ή το δέρμα, με αποτέλεσμα κολοκυστικό (65%), κολοκολπικό (25%) και κολοεντερικό ή κολοδερματικό συρίγγιο.
Κλινική αξιολόγηση και παρακλινικός έλεγχος
Η αρχική εκτίμηση του ασθενούς με πιθανή διάγνωση οξείας εκκολπωματίτιδας περιλαμβάνει τη λήψη ιστορικού, την αντικειμενική εξέταση και βασικό εργαστηριακό έλεγχο με γενική αίματος, ανάλυση ούρων και απλές ακτινογραφίες θώρακα και κοιλίας (Πίνακες 3- 8)
Πίνακας 3
|
Συμπτώματα ασθενούς με οξεία εκκολπωματίτιδα |
|
Πόνος Πυρετός Καταβολή Ανορεξία Ναυτία (με/ χωρίς εμέτους) Αλλαγή συνηθειών εντέρου - Διάρροια - Δυσκοιλιότητα - Εναλλαγές διάρροιας/δυσκοιλιότητας - Αλλαγή διαμέτρου κοπράνων - Αίσθημα πλήρωσης στο υπογάστριο Από το ουροποιητικό - Συχνουρία, δυσουρία (από φλεγμονή παρακείμενα στην ουροδόχο κύστη) - Πνευματουρία (3-5%) - Kοπρανουρία - Πολυμικροβιακή λοίμωξη ουροποιητικού (κολοκυστικό συρίγγιο) |
Πίνακας 4
|
Χαρακτηριστικά πόνου στην οξεία εκκολπωματίτιδα |
|
Πίνακας 5
|
Σημεία οξείας εκκολπωμματίτιδας |
|
Πίνακας 6
|
Ευρήματα οξείας εκκολπωματίτιδας στο βασικό παρακλινικό έλεγχο |
|
Πίνακας 7
|
Διαφορική διάγνωση οξείας εκκολπωματίτιδας |
|
Πίνακας 8
|
Διαφορική διάγνωση οξείας εκκολπωματίτιδας |
|
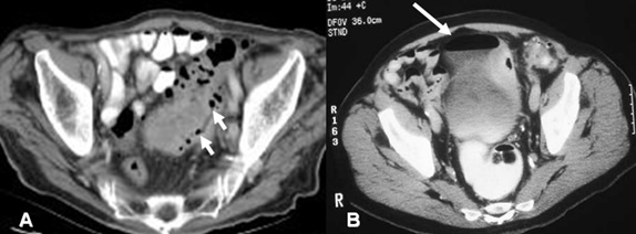
Η αξονική τομογραφία κοιλίας και πυέλου είναι η πλέον κατάλληλη και παθογνωμονική απεικονιστική εξέταση για τη διάγνωση της οξείας εκκολπωματίτιδας (Εικόνα 4).

Εικόνα 4.
Ευρήματα εκκολπωματίτιδας στην αξονική τομογραφία:
Α. Εκκολπώματα (μικρά βέλη), πάχυνση τοιχώματος και ελάττωση εύρους του αυλού του παχέος εντέρου.
Β. Παρουσία αέρα μέσα στην ουροδόχο κύστη (μεγάλο βέλος) από κολοκυστικό συρίγγιο
Η κολονοσκόπηση και η ορθοσιγμοειδοσκόπηση (εύκαμπτη ή άκαμπτη) αντενδείκνυνται σε σοβαρή υποψία οξείας εκκολπωματίτιδας , διότι η εμφύσηση αέρα που είναι απαραίτητη για την εκτέλεση των ενδοσκοπικών αυτών μεθόδων μπορεί να επιδεινώσει ή να προκαλέσει τη διάτρηση στην περιοχή του φλεγμαίνοντος σιγμοειδούς.
Θεραπεία
Η αρχική θεραπεία της οξείας εκκολπωματίτιδας είναι συντηρητική, μη χειρουργική και περιλαμβάνει διαιτολογική τροποποίηση/περιορισμό και από του στόματος ή ενδοφλέβια αντιβιοτικά για κάλυψη των Gram (-) αναεροβίων μικροβίων (χλωρίδα του παχέος εντέρου: Bacteroides fragilis και Escherichia coli), με κατάλληλη μονοθεραπεία ή συνδυασμό αντιβιοτικών, πχ κινολόνη και μετρονιδαζόλη, για 7-10 ημέρες.
Επί μη βελτίωσης, έναρξη διερεύνησης για πιθανές επιπλοκές (15-30% ασθενών υπό συντηρητική αγωγή για την αντιμετώπιση οξείας εκκολπωματίτιδας θα χρειαστούν χειρουργική αντιμετώπιση στην ίδια νοσηλεία τους).
Μετά τη λύση του αρχικού επεισοδίου της οξείας εκκολπωματίτιδας το παχύ έντερο πρέπει να εκτιμηθεί επαρκώς με κολονοσκόπηση (σε 3-6 εβδομάδες από το επεισόδιο) για την επιβεβαίωση της παρουσίας εκκολπωματικής νόσου και τον αποκλεισμό άλλων παθολογιών (καρκίνος, ισχαιμική κολίτιδα, φλεγμονώδης νόσος εντέρου).
Η χειρουργική θεραπεία συνίσταται σε σιγμοειδεκτομή. Οι ενδείξεις χειρουργικής θεραπείας της οξείας εκκολπωματίτιδας αναφέρονται στον Πίνακα 9.
Πίνακας 9. Ενδείξεις χειρουργικής θεραπείας της οξείας εκκολπωματίτιδας
|
Επείγον χειρουργείο |
Εκλεκτικό χειρουργείο |
|
Ελεύθερη διάτρηση,γενικευμένη περιτονίτιδα |
Πολλαπλά, συχνά επεισόδια οξείας εκκολπωματίτιαδας, συνήθως με μεσοδιαστήματα με συμπτώματα και επηρεασμό ποιότητας ζωής του ασθενούς |
|
Απόφραξη παχέος εντέρου |
Στένωση παχέος εντέρου |
|
Απόστημα μη δυνάμενο να παροχετευθεί υπό αξονοτομογραφική καθοδήγηση |
|
|
Συρίγγιο |
Αδυναμία διαφορικής διάγνωσης και υποψία για κακοήθεια |
|
Κλινική επιδείνωση ή μη βελτίωση με συντηρητική θεραπεία |
Μετά από επείγουσα σιγμοειδεκτομή, κολο-ορθική αναστόμωση είναι εφικτή ανάλογα με την κατάσταση του ασθενούς (αιμοδυναμική σταθερότητα, ελεγχόμενη σήψη, απουσία κοπρανώδους περιτονίτιδας). Ακόνη και σήμερα, ωστόσο, η παραδοσιακή επέμβαση κατά Hartmann προτιμάται από πολλούς. Περιλαμβάνει σιγμοειδεκτομή, τελική κολοστομία κατιόντος κόλου και σύγκλειση του ορθικού κολοβώματος (Εικόνες 5, 6). Η αποκατάσταση της συνέχειας της πεπτικής οδού με αναστόμωση μεταξύ του κατιόντος κόλου με το ορθό λαμβάνει χώρα 6 μήνες αργότερα.

Εικόνα 5.
Επέμβαση κατά Hartmann

Εικόνα 6.
Παρασκεύασμα σιγμοειδεκτομής σε ασθενή με διάτρηση από εκκολπωματίτιδα.
Το σιγμοειδές είναι ρικνωμένο και φλεγμονώδες, οι περικολικοί ιστοί αποστηματοποιημένοι και το μεσόκολο πεπαχυσμένο
(Από το προσωπικό αρχείο του Γ. Θεοδωρόπουλου)
Αιμορραγία εκκολπωματικής νόσου
Η αιμορραγία από εκκολπωματική νόσο αποτελεί τη συχνότερη αιτία μαζικής αιμορραγίας από το κατώτερο πεπτικό σύστημα (30-50%) και μαζί με τις αγγειοδυσπλασίες (στο 30%), που συνήθως εντοπίζονται στο δεξιό κόλον, προκαλούν συχνότερα μακροσκοπικά ορατή αιμορραγία από το ορθό.
Το 15% των ασθενών με εκκολπωμάτωση θα αιμορραγήσουν κάποια στιγμή κατά τη διάρκεια της ζωής τους.
Η αιμορραγία των εκκολπωμάτων συνήθως δεν συνυπάρχει με εκκολπωματίτιδα.
Η αιμορραγία από εκκολπώματα είναι συνήθως οξείας έναρξης, ανώδυνη, με ζωηρό ερυθρό χρώμα και φρέσκους θρόμβους, μεγάλη σε ποσότητα αιμορραγία από το ορθό και στο 1/3 των περιπτώσεων είναι μαζική και απαιτεί τη μετάγγιση αίματος. Παρ’ όλα αυτά, η αιμορραγία σταματά αυτόματα στο 70-80% των περιπτώσεων.
Κατά το σχηματισμό του εκκολπώματος τα διατιτραίνοντα αγγεία, που εισέρχονται από τα έξω προς τα μέσα στα σημεία δημιουργίας των εκκολπωμάτων, συμπαρασύρονται από το θόλο του εκκολπώματος και χωρίζονται από τον αυλό του μόνο από το λεπτό βλεννογόνο (Εικόνα 5). Έτσι είναι ευάλωτα σε τραυματισμό από το εντερικό περιεχόμενο, με αποτέλεσμα την εκκολπωματική αιμορραγία αρτηριακής αρχής και, συνεπώς μεγάλης ποσότητας.
Η αντιμετώπιση είναι αυτή της αιμορραγίας από το κατώτερο πεπτικό:
- Αρχική ανάνηψη και αιμοδυναμική σταθεροποίηση , που περιλαμβάνει τη χορήγηση οξυγόνου, την τοποθέτηση 2 φλεβικών γραμμών 16-18 G, χορήγηση αρχικά 2 λίτρων κρυσταλλοειδών διαλυμάτων και έναρξη μεταγγίσεων με αίμα ταυτόχρονα με τη συνεχιζόμενη χορήγηση ενδοφλεβίων κρυσταλλοειδών σε περίπτωση εμμένουσας αστάθειας, την τοποθέτηση ουροκαθετήρα Foley (παρακολούθηση ωριαίας αποβολής ούρων) και τη συνεχή παρακολούθηση των ζωτικών σημείων του ασθενούς, αν απαιτείται και στη Μονάδα Εντατικής Θεραπείας.
· Τοποθέτηση ρινογαστρικού σωλήνα. Η επιστροφή χολώδους περιεχομένου συνήθως αποκλείει την αρχή της αιμορραγίας από το ανώτερο πεπτικό.
- Ενδοσκόπηση κατώτερου πεπτικού . Η ορθοσιγμοειδοσκόπηση πρέπει να εκτελείται άμεσα, παρά την έλλειψη προετοιμασίας του εντέρου (αν και το αίμα έχει ισχυρή καθαρτική δράση) για να αποκλείσει αίτιο αιμορραγίας από το ορθό, κάτω από την περιτοναϊκή ανάκαμψη. Επείγουσα κολονοσκόπηση με συνεχή έκπλυση μπορεί να είναι εφικτή για τον εντοπισμό της πηγής και τον ορισμό του αιτίου της αιμορραγίας. Συχνά, ωστόσο, η ορατότητα είναι ιδιαίτερα περιορισμένη λόγω της μεγάλης αιμορραγίας και η κολονοσκόπηση διενεργείται μετά το πέρας της αιμορραγίας (σε ηπίου βαθμού αιμορραγία σε 12-24 ώρες).
· Στον εντοπισμό της πηγής συνεχιζόμενης αιμορραγίας μπορούν να βοηθήσουν η εκλεκτική αγγειογραφία των μεσεντερίων αγγείων (ελάχιστη ταχύτητα απώλειας αίματος που απαιτείται για την ανάδειξη της αιμορραγίας: 1 ml/min) και το σπινθηρογράφημα σεσημασμένων ερυθρών με 99 mTc (ελάχιστη ταχύτητα απώλειας αίματος που απαιτείται για την ανάδειξη της αιμορραγίας: 0,5 ml/min).
· Ενδείξεις για επείγουσα χειρουργική αντιμετώπιση είναι: (α) Αιμοδυναμική αστάθεια που δεν ανταποκρίνεται στις ανανηπτικές προσπάθειες. (β) Συνεχιζόμενη αιμορραγία παρά τη μετάγγιση 6 μονάδων αιμάτων σε διάστημα 24 ωρών. (γ) Υποτροπή μαζικής αιμορραγίας
· Αν η πηγή της αιμορραγίας έχει εντοπιστεί πριν από το χειρουργείο, η επέμβαση που διενεργείται είναι η τμηματική κολεκτομή (π.χ. σιγμοειδεκτομή σε περίπτωση εκκολπωματικής αιμορραγίας) και αναστόμωση κατά πρώτο σκοπό.
· Εάν οι προσπάθειες ήταν ανεπιτυχείς η υφολική κολεκτομή (αφαίρεση όλου του παχέος εντέρου εκτός του ορθού) και η αποκατάσταση της συνέχειας με ειλεο-ορθική αναστόμωση είναι η επέμβαση που πρέπει να εκτελείται, διότι η πηγή της μαζικής αιμορραγίας μπορεί να βρίσκεται στο δεξιό ή στο αριστερό κόλον (Εικόνα 7).

Εικόνα 7.
Α. Διεγχειρητική εικόνα μαζικής αιμορραγίας κατώτερου πεπτικού με παχύ έντερο διατεταμένο και πλήρες αίματος
Β. Χειρουργικό παρασκεύασμα υφολικής κολεκτομής που ακολούθησε. Γ. Μετά τη διάνοιξη του παρασκευάσματος εικόνα εκκολπωμάτων με θρόμβους και σημεία πρόσφατης αιμορραγίας
(Από το προσωπικό αρχείο του Γ. Θεοδωρόπουλου)